走路摔跤这样尴尬的事情,大部分人站起身,(假装)优雅地拍拍灰就没事了。但对于上了年纪的人来说,摔一跤却是件极其可怕的事。尤其是高龄老人,稍有不慎就有可能造成致命的危险!
八旬老人意外跌倒 右髋部剧烈疼痛
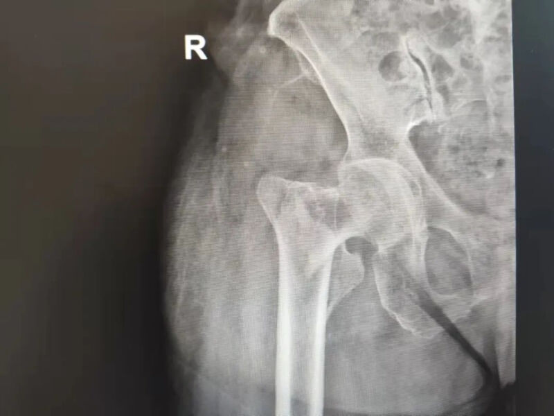
11月17日,一个平常的傍晚,87岁的杨奶奶(化名)吃完饭照常在养老院里散步,却不慎摔倒,右腿着地,当即右髋关节一阵疼痛就站不起来了。幸好养老院工作人员及时发现,立马联系了医务室。只见杨奶奶右下肢明显肿胀,越来越疼,为进一步诊治,便将她送到深圳禾正医院。禾正医院骨科主任医师林尊文接诊后,经过详细检查和右侧髋关节正侧位片提示,杨奶奶被确诊为右股骨粗隆间骨折。

右侧髋关节正侧位片
髋部是易发骨质疏松性骨折的部位,髋部骨折也被称为“人生最后一次骨折”。一旦发生髋部骨折,老人将失去活动能力,并可能迅速诱发褥疮、肺部感染、下肢静脉血栓等致命并发症。同时,杨奶奶还是一位阿尔茨海默病患者,身体状况差,这意味着杨奶奶髋部骨折治疗面临的困难与挑战。
“做手术需要考虑麻醉、手术的风险,而保守治疗需要长时间卧床,杨奶奶的生活质量会大打折扣,生命亦会受到威胁。”骨科团队医生积极和病人家属沟通,将手术的风险和手术的获益情况向家属进行了详细的说明。
多学科联合诊治 为老人成功手术
面对难关,禾正医院骨科团队迅速组织多学科会诊对患者进行评估。骨科团队、麻醉科屠伟峰主任、神经内科陈远芳主任、心血管内科黄莺主任、呼吸与危重症医学科陈莉延主任和综合康复科李逢培主任共同为患者定制个性化的微创手术方案、目标导向的老年人患者麻醉方案和个性化的髋关节康复训练方案,为患者的手术能顺利且安全进行提供了有力的保障。
得到了患者家属的充分理解和同意后,11月19日,骨科主任医师林尊文、金勋杰及时为杨奶奶进行右股骨粗隆间骨折闭合复位+髓内钉内固定术,手术历时2小时,十分成功。
术后在医护人员的精心治疗和细心护理下,患者恢复良好,第二天便可重新站立,一周后可在家属陪同下下地,这也极大提高了患者的生活质量。

杨奶奶术后伤口图
老人骨折 不轻言放弃手术治疗
髋部骨折是指大腿骨上四分之一处的骨折,也叫股骨骨折,包括股骨颈骨折、股骨粗隆间骨折、髋臼骨折。出现髋部骨折的原因和方式有很多,摔倒是最常见的原因之一,大多数都是通过手术进行治疗。
在临床上,很多高龄老人的家属过于担心手术风险,而忽视了老年人晚年生活质量的重要性。林尊文主任提醒:老人骨折后不要随意放弃手术治疗,如果身体条件许可,应尽早手术。
禾正医院目前已挂牌成为南昌大学第一附属医院深圳医院,骨科团队也借助南昌大学第一附属医院力量积极探索实施先进、精准的个体化手术方法,并依托医院多学科技术优势,以多学科协作(MDT)模式及快速康复理念,形成了高龄髋部骨折的救治特色,为老年髋部骨折病人带来福音。
髋部骨折多发于65岁以上的老年人,因此专家提醒,老年人应注意以下三点:
(1)预防摔倒。老年人需做好防滑措施,如减少雨雪天气出门,外出时拄拐杖、穿防滑鞋、上下楼梯时扶好等。
(2)适量运动、多晒太阳。中老年人要适当活动筋骨;经常晒太阳,促进维生素D的合成,提高钙的吸收。
(3)合理补钙。老年人要多食富含钙质及维生素D的食物。适当口服钙片补钙,促进钙质的吸收与利用,减轻骨质疏松。


